
De afgelopen jaren ben ik druk bezig geweest met het voorbereiden van het eerste nestje van De La Vida en Rosa. Eind maart 2024 (veel eerder dan verwacht) is La-Vie loops geworden en begon voor ons de spannende periode.
In april 2024 was het zover en zijn we met La-Vie afgereisd naar Tsjechïe. Ook Nola mocht met ons mee voor de gezelligheid.
Het was een lange rit, maar wat hebben de dames het goed gedaan! In Tsjechië heeft La-Vie een date gehad met de knappe Bucky. Leuk om Bucky in het echt te zien en wat is hij een knappe en lieve reu. Gelukkig vond La-Vie hem ook erg leuk.
Na de dates zijn we weer lekker naar huis gegaan en vanaf dat moment was het in spanning afwachten of ze drachtig zou zijn.

Wandelen in Tsjechië

Gezellig mee uiteten
La-Vie is de afgelopen weken wat rustiger dan normaal, erg hongerig en een paar dagen wat misselijk geweest. Allemaal positieve signalen, dus we hadden al een klein vermoeden dat ze drachtig zou zijn. Maar het bleef natuurlijk erg spannend en we hebben de dagen afgeteld tot aan de echo.
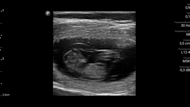
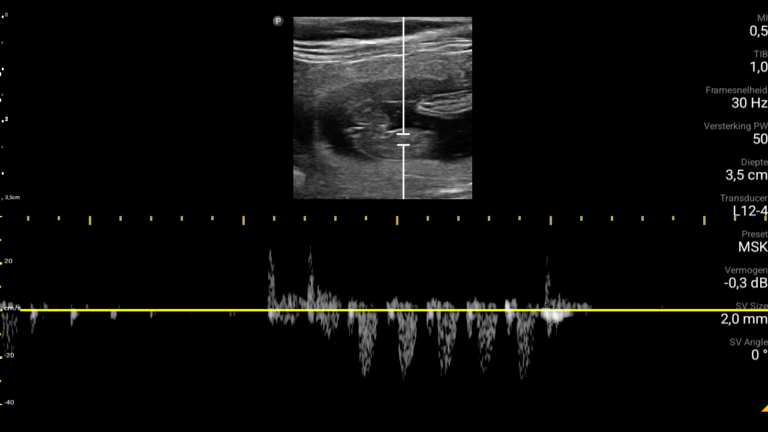
Op 3 mei 2024 was het dan eindelijk zover, de dag van de echo. Bij de echo zagen we meteen het eerste pupje en wisten we gelijk, ZE IS DRACHTIG! Wat was het bijzonder om de kleine pupjes te zien en de hartslagjes te horen.

Echo dag 32

Echo dag 32
Echo Dag 32

La-Vie – 3 weken drachtig
Momenteel is La-Vie 5 weken drachtig. De pupjes zijn nu ongeveer zo groot als een walnoot. La-Vie haar melkklieren beginnen met ontwikkelen en ze begint al een klein buikje te krijgen. Verder is ze nog steeds erg hongerig en slaapt ze veel. Normaal is ze al een grote knuffelkont, maar nu ligt ze het liefste de hele dag bij mij op schoot.
De pupjes van La-Vie en Bucky worden verwacht in juni 2024. Dus we moeten nog een paar weekjes geduld hebben. Wij kunnen niet wachten tot we de pups mogen ontmoeten en zijn nu al trots op onze kleine meid!
Achter de schermen zijn we druk bezig met de voorbereidingen en vanaf nu zal ik een blog bij gaan houden over het 1e nestje van De La Vida en Rosa.


